
保障性住房 特区发展 东莞发展 深圳知识产权 转创法信事务所(深圳) 入户政策 深圳管理 东莞教育 大朗镇 深圳人社 东莞质量 深圳教育 大亚湾新区 罗湖区 大鹏区 龙岗区 福田区 南山区 盐田区 宝安区 龙岗区 龙华区 坪山区 光明区 深圳金融 前海区
广州知识产权 国际金融后台基地 佛山发展 广东金融高新区 佛山国家高新区 南海区 禅城区 顺德区 荔湾区 花都区 天河区 黄埔区 越秀区 海珠区 番禺区 白云区 南沙自贸区 从化区 南海区 广州发展 信用广州 佛山政务 信用佛山 荔湾区 人社与教育 增城区 佛山教育
医学人工智能研究中心(浙江大学计算机学院)

中心依托浙江大学计算机学院建设,中心主任吴健教授,现任浙大睿医人工智能研究中心主任,浙江大学计算机学院、公共卫生系教授博导,主要研究方向医学人工智能和服务计算,入选浙江省151人才工程。中心目前共有人员50余人,其中:高级职称6人,访问学者2名(1位 IEEE Fellow),全职研究员6名,博士硕士20名。
中心瞄准于医学人工智能,重点研究医学知识图谱和影像组学两个方向。目前在影像组学方向上研发的产品主要有宫颈癌检测分析系统、肺结节检测分析系统、骨龄检测分析系统、胃癌病理检测分析系统和眼底影像智能诊断系统。
中心主要研究成果:
阴道镜宫颈癌辅助诊断系统:自动分析阴道镜检查图片,给出宫颈癌患病可能性,平均敏感度90%。宫颈癌HSIL高级别病变检测,在HSIL的粗判定中,其中Ⅰ型转化区的宫颈图像准确率为83.88%,敏感度为92.81%;Ⅲ型转化区准确率为76.06%,敏感度为78.61%。

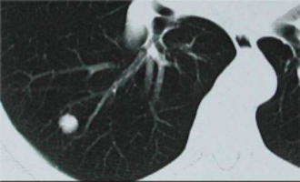
肺小结节辅助诊断系统:在天池医疗肺结节比赛中,团队在第一季获得肺部结节智能诊断第九名的好成绩。目前,本项目已经设计了一个肺结节检测可视化程序,将检测系统的结果直接标记在CT影像中。


骨龄辅助诊断系统:识别准确率为82%,远高于传统检测技术效果,达到一般骨龄识别工作人员水平;一岁以内的骨龄诊断准确率达99%。


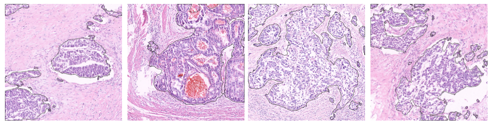
胃癌病理辅助诊断系统:在胃癌病理切片识别AI挑战赛,团队取得了第四名的好成绩,成功召回率92%。

眼底图慢病检测云服务:已在脑卒中预测、青光眼预诊、糖尿病眼底病变检测、白内障自动分期、近视弧自动检测等方向突破系列关键技术,已取得四项发明专利,其中糖尿病视网膜病变分类的检测水平与Google一致。

© 2024 All rights reserved. 北京转创国际管理咨询有限公司 备案号: 京ICP备19055770号-4
Transverture International Group Co Ltd, Guangdong Branch
地址:广州市天河区天河北路179号尚层国际1601
深圳市福田区深南中路2066号华能大厦
佛山顺德区北滘工业大道云创空间
东莞市大朗镇富丽东路226号松湖世家
梅州市丰顺县留隍镇新兴路881号
长沙市芙蓉区韶山北路139号文化大厦

欢迎来到本网站,请问有什么可以帮您?
稍后再说 现在咨询